목차
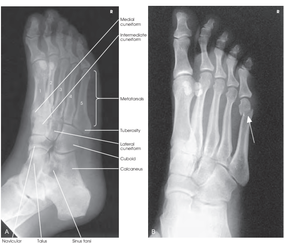
내측 사선 촬영법은 중족골(metatarsals)을 포함한 발의 중간(midfoot)과 후족(hindfoot) 관절을 더 잘 열리게 하기 때문에 외측 사선 촬영법보다 선호됩니다.
Image Receptor (IR)
- 10 × 12 inch (24 × 30 cm)
Position of patient (환자 위치)
- 환자를 바로 누운 자세(supine) 또는 앉은 자세(seated)로 위치시킵니다.
- 영향을 받은 쪽의 무릎을 굽혀 발바닥이 테이블에 안정적으로 닿도록 합니다.
Position of part (촬영 부위 위치)

- 환자의 발을 IR 위에 배치하고, 발의 긴 축과 IR의 축이 평행하도록 맞춥니다.
- 발의 중족골 중 세 번째(base of third metatarsal)의 중간선에 IR 중심을 맞춥니다.
- 발바닥을 IR의 면과 30도 각도로 회전시키기 위해 다리를 내측으로 돌립니다.
- 30도 이상 각도를 높이면 외측 설상골(lateral cuneiform)이 다른 설상골 위로 올라가게 됩니다.
- 생식선 보호 (Shield gonads).
Central ray (중심선)
- **중족골의 세 번째(base of third metatarsal)**에 수직으로 입사.
Collimation (조사 범위 제한)
- 모든 면에서 1 inch (2.5 cm), 발의 끝부분과 발꿈치보다 1 inch 더 확장.
보상 필터 (Compensating Filter)
발가락과 tarsal 부위의 두께 차이로 인해, 쐐기형 보상 필터를 사용하여 영상의 품질을 높일 수 있습니다.
Structures shown (보이는 구조물)

| 내측 쐐기뼈 | Medial cuneiform |
| 중간 쐐기뼈 | Intermediate cuneiform |
| 외측 쐐기뼈 | Lateral cuneiform |
| 중족골 | Metatarsals |
| 결절 | Tuberosity |
| 입방뼈 | Cuboid |
| 발꿈치뼈 | Calcaneus |
| 발배뼈 | Navicular |
| 목말뼈 | Talus |
| 목말뼈 오목 | Sinus tarsi |
이미지에는 다음의 공간 및 구조물이 명확히 표시되어야 합니다:
- 입방골(cuboid)과 발꿈치뼈(calcaneus), 그리고 제4·제5 중족골
- 입방골과 외측 설상골 및 주상골(navicular bone)
- 외측 설상골은 옆모습으로, 종굴(sinus tarsi)은 잘 보이게 됩니다.
Evaluation criteria (평가 기준)
- 발가락부터 발꿈치까지 발 전체가 포함되어야 함.
- 발이 올바르게 회전된 상태:
- 제3~5 중족골은 서로 중첩되지 않음.
- 제1, 2 중족골 기저부는 내측 및 중간 설상골과 중첩됨.
- 나비뼈(navicular), 외측 설상골 및 입방골은 중첩이 적게 보임.
- 5번째 중족골 결절부(tuberosity) 명확히 보임.
- 외측 타르살중족골(TMT) 및 관절선 잘 나타남.
- 종굴(sinus tarsi) 명확히 보임.
- 연부 조직 및 골 소주구조 (Soft tissue and bony trabecular detail) 명확.
촬영법 영상
기타 다른 촬영법
엑스레이 일반촬영 메뉴얼
SkullSkull APhttps://bj-library.tistory.com/34 일반촬영 x-ray 머리뼈(skull)사진 (skull series) ap 촬영법1. 언제 촬영하나? 외상, 부상(trauma), 두개골 골절 등 전체적인 확인 부비동(PNS, paranasal sinus) 내 염증 확인
bj-library.tistory.com
Foot AP projection, 발 AP, axial 촬영법
Image Receptor (영상 수용기)10 × 12 inch (24 × 30 cm)Position of patient (환자 자세)환자를 바로 누운 자세(supine) 또는 앉은 자세(seated position)로 배치합니다.검사 발의 무릎을 굽혀 발바닥이 테이블에 단단
bj-library.tistory.com
Foot Lateral
Foot Medial Oblique projection, 발 Oblique(medial) 촬영법
내측 사선 촬영법은 중족골(metatarsals)을 포함한 발의 중간(midfoot)과 후족(hindfoot) 관절을 더 잘 열리게 하기 때문에 외측 사선 촬영법보다 선호됩니다.Image Receptor (IR)10 × 12 inch (24 × 30 cm)Position of p
bj-library.tistory.com
Foot lateral Oblique projection, 발 Oblique(lateral rotation) 촬영법
Image Receptor (IR)10 × 12 inch (24 × 30 cm), 길게 배치.Position of patient (환자 자세)환자를 앉거나, 바로 누운 자세(supine)로 위치시킵니다.영향을 받은 쪽의 무릎을 굽혀 발바닥이 방사선 테이블에 안정적
bj-library.tistory.com
'일반촬영' 카테고리의 다른 글
| Foot lateral Oblique projection, 발 Oblique(lateral rotation) 촬영법 (0) | 2024.11.23 |
|---|---|
| Foot AP projection, 발 AP, axial 촬영법 (0) | 2024.11.21 |
| Toe LAT projection, 발가락 Lateral 촬영법 (0) | 2024.11.20 |
| Toe AP oblique projection (Medial rotation), 발가락 oblique 촬영법 (1) | 2024.11.19 |
| 일반촬영 x-ray 발가락(toe)사진 (toe series) AP, axial 촬영법 (0) | 2024.11.18 |
