목차
Toes: AP OR AP AXIAL PROJECTIONS
AP 및 AP Axial 투사
발가락은 자연스러운 곡선을 가지기 때문에, **IP joint(Interphalangeal joint)**이 AP 촬영에서 잘 나타나지 않을 수 있습니다. 만약 관절 공간의 명확한 시각화가 필요하지 않다면, 단순 AP로도 충분히 촬영할 수 있습니다. 그러나, 관절 공간을 더 명확히 보여주기 위해서는 AP Axial 촬영법이 권장됩니다. 이 투사는 발의 전단부 왜곡을 줄이는 데 효과적입니다.
Image receptor
IR(image receptor) : 8 × 10 inch (18 × 24 cm) 또는 10 × 12 inch (24 × 30 cm) 길이 방향 사용 가능. 두 개의 촬영을 한 IR에 겹쳐서 촬영할 수도 있습니다.
Position of patient
- 환자는 앉은 자세 또는 테이블 위에 발을 올려놓고 촬영을 준비합니다.
Position of part
- 환자는 앉거나 누운 자세에서 무릎을 구부리고, 발을 테이블 위로 약 6인치(15cm) 정도 들어올려 발가락을 고정합니다.
- 발가락이 IR의 절반에 올 수 있도록 맞추고, 필요 시 15도 경사의 스펀지 받침대를 이용해 발가락을 적절히 위치시킵니다.
- **세 번째 중족지관절(MTP joint)**을 기준으로 IR의 중심에 맞춥니다.



참고 : 병원에 따라 발 전체를 촬영할 수도 있고, 관심이 있는 발가락만 촬영할 수도 있습니다.
Central ray
- 세 번째 MTP 관절에 수직으로 조준. 관절 공간을 더 잘 보기 위해서는 15도 각도로 세 번째 MTP 관절을 향해 중앙선을 조준.
Collimation
- 발가락을 중심으로 모든 측면에서 1인치(2.5cm) 이내로 조절하고, 1인치(2.5cm) 정도 MTP 관절 쪽으로 확장합니다.
Structures shown
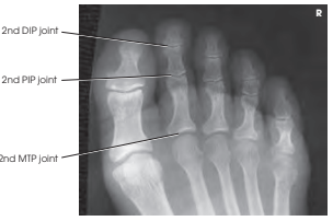
이 촬영법으로 얻는 영상은 발가락 14개의 골격과 발등뼈(metatarsals)의 원위부를 포함합니다. AP Axial 투사에서는 IP 관절과 MTP 관절 공간을 열어 보여줍니다.


Evaluation criteria(평가 항목)
- 발가락이 서로 분리되어야 합니다.
- 지골(phalanx) 회전이 없어야 하며, 연부조직의 폭과 중앙의 오목한 부분이 양쪽에서 대칭적으로 나타나야 합니다.
- IP 및 MTP 관절 공간이 AP Axial 투사에서 잘 열려 보여야 합니다.
- 연부조직과 뼈의 세부 구조가 뚜렷해야 합니다.
촬영법 영상
기타 다른 촬영법
일반촬영 x-ray 발가락(toe)사진 (toe series) AP, axial 촬영법
Toes: AP OR AP AXIAL PROJECTIONSAP 및 AP Axial 투사발가락은 자연스러운 곡선을 가지기 때문에, **IP joint(Interphalangeal joint)**이 AP 촬영에서 잘 나타나지 않을 수 있습니다. 만약 관절 공간의 명확한 시각화
bj-library.tistory.com
Toe LAT
toe AP oblique projection (Medial rotation)
발가락 Oblique 촬영법Image receptor (이미지 리셉터)8 × 10 inch (18 × 24 cm) 또는 10 × 12 inch (24 × 30 cm) 길이 방향으로 사용 가능. 하나의 IR에 두 개의 촬영을 교차로 담을 수 있습니다.Position of patient (환
bj-library.tistory.com
'일반촬영' 카테고리의 다른 글
| Toe LAT projection, 발가락 Lateral 촬영법 (0) | 2024.11.20 |
|---|---|
| Toe AP oblique projection (Medial rotation), 발가락 oblique 촬영법 (1) | 2024.11.19 |
| 일반촬영 x-ray 엑스레이 고관절(Hip series) Hip Lateral 촬영방법 (0) | 2024.11.17 |
| 일반촬영 x-ray 엑스레이 고관절(Hip series) Hip AP 촬영방법 (0) | 2024.11.16 |
| 알면 알수록 어려운 일반촬영 (1) | 2024.11.15 |
