목차
발가락 Oblique 촬영법
Image receptor (이미지 리셉터)
8 × 10 inch (18 × 24 cm) 또는 10 × 12 inch (24 × 30 cm) 길이 방향으로 사용 가능. 하나의 IR에 두 개의 촬영을 교차로 담을 수 있습니다.

Position of patient (환자 자세)
- 환자는 누운 자세 또는 앉은 자세로 방사선 테이블에 위치합니다.
- 영향을 받은 발의 무릎을 약간 구부려 발바닥이 테이블에 평평하게 놓이도록 합니다.
Position of part (촬영 부위 자세)
- IR의 정 중앙을 발 아래에 위치시킵니다.
- 영향을 받은 발과 다리를 내측으로 회전하여 발바닥의 표면이 IR에 대해 약 30°~45° 각도를 이루도록 합니다.
- 발가락이 IR의 중앙에 위치하도록 조정합니다.
- **생식기 차폐(Shield gonads)**를 적용합니다.
Central ray (중앙선)
- 중앙선은 **세 번째 중족지관절(MTP joint)**을 향해 수직으로 조준합니다.
Collimation (콜리메이션)
- 발가락 주위 모든 방향으로 약 1인치(2.5cm) 범위로 콜리메이션을 조정하며, 세 번째 중족지관절 근처에서 **1인치(2.5cm)**를 확장합니다.
참고: 특정 발가락만 촬영하려는 경우, 영향을 받은 발가락을 IR 중앙에 맞추고 콜리메이션을 조정하여 촬영할 수 있습니다. 첫 번째와 두 번째 발가락은 내측 사선 위치로, 네 번째와 다섯 번째 발가락은 외측 사선 위치로 촬영합니다. 세 번째 발가락은 양쪽 사선 촬영이 모두 적합합니다.

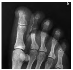
Structures shown (보여지는 해부학 구조들)
AP oblique 투사를 통해 얻는 영상은 다음과 같은 구조를 포함합니다:
- 발가락의 지골(Phalanges)
- 발등뼈의 원위부(Distal portion of metatarsals)
- 약간 내측으로 회전된 발 구조
Evaluation criteria (평가 기준)
- 발가락 전체가 포함되어야 하며, 발등뼈의 원위부도 시각화되어야 합니다.
- 발가락이 서로 분리되어 있어야 합니다.
- 지골의 회전이 없어야 하며, 연부조직의 폭과 중앙 오목한 부분이 대칭적으로 나타나야 합니다.
- IP 및 MTP 관절 공간이 열려 있어야 합니다.
- 연부조직과 뼈의 세부 구조가 뚜렷해야 합니다.
촬영법 영상
기타 다른 촬영법
일반촬영 x-ray 발가락(toe)사진 (toe series) AP, axial 촬영법
Toes: AP OR AP AXIAL PROJECTIONSAP 및 AP Axial 투사발가락은 자연스러운 곡선을 가지기 때문에, **IP joint(Interphalangeal joint)**이 AP 촬영에서 잘 나타나지 않을 수 있습니다. 만약 관절 공간의 명확한 시각화
bj-library.tistory.com
Toe LAT
toe AP oblique projection (Medial rotation)
발가락 Oblique 촬영법Image receptor (이미지 리셉터)8 × 10 inch (18 × 24 cm) 또는 10 × 12 inch (24 × 30 cm) 길이 방향으로 사용 가능. 하나의 IR에 두 개의 촬영을 교차로 담을 수 있습니다.Position of patient (환
bj-library.tistory.com
'일반촬영' 카테고리의 다른 글
| Foot AP projection, 발 AP, axial 촬영법 (0) | 2024.11.21 |
|---|---|
| Toe LAT projection, 발가락 Lateral 촬영법 (0) | 2024.11.20 |
| 일반촬영 x-ray 발가락(toe)사진 (toe series) AP, axial 촬영법 (0) | 2024.11.18 |
| 일반촬영 x-ray 엑스레이 고관절(Hip series) Hip Lateral 촬영방법 (0) | 2024.11.17 |
| 일반촬영 x-ray 엑스레이 고관절(Hip series) Hip AP 촬영방법 (0) | 2024.11.16 |
