목차
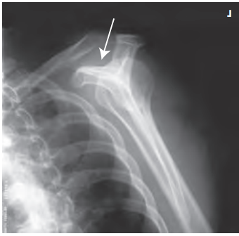
안녕하세요, 오늘은 어깨(shoulder) 촬영방법 중 하나인 shoulder Tangential(supraspinatus outlet) 촬영법에 대해서 설명하겠습니다. 이 촬영법은 impingement syndrome(어깨충돌증후군)이 의심되는 경우 촬영합니다. 일반적인 촬영에 비해 arcomion process(견봉돌기)를 더 자세히 관찰 가능합니다.

촬영방법

환자 자세
- 앉거나 서서 촬영한다. 선 자세가 더 용이하다.
- 검사측 어깨를 디텍터에 붙인다.
- 견갑골의 평평한 면과 디텍터를 수직으로 위치하도록 환자를 조정한다.
- 이 각도는 환자마다 상이하다. 평균 45~60도로 다양하다.
- 호흡 정지
- 팁 : 조사야의 세로축을 AC joint와 superior angle of scapular 를 일치시키면 잘 나올 가능성이 높다.

중심점(CR)
- 10~15도 caudad(발쪽)
- 상완골 머리부분
영상평가

- arcromion(견봉)의 전체적인 모습이 잘 보여야 한다.
- scauplar(견갑골)은 Y자 모양이 나와야 한다.
- supraspinauts(극상근)이 차지하는 공간이 잘 나와야 한다.
- AC joint(견쇄관절), scapular가 잘 보여야 한다.
이미지 및 영상


기타 다른 촬영들
shoulder AP(Neutral, internal, external)
https://bj-library.tistory.com/44
일반촬영 x-ray 엑스레이 어깨(shoulder series) - shoulder AP 촬영방법
안녕하세요, 오늘은 어깨(shoulder) 촬영방법 중 하나인 shoulder AP 촬영법에 대해서 설명하겠습니다. 견과절의 병리학적 상태 혹은 외상에 의한 골절, 탈구나 손상을 전체적으로 확인하는데 유용한
bj-library.tistory.com
shoulder True AP(GRASHEY METHOD)
https://bj-library.tistory.com/45
일반촬영 x-ray 엑스레이 어깨(shoulder series) - shoulder true AP (GRASHEY METHOD) 촬영방법
안녕하세요, 오늘은 어깨(shoulder) 촬영방법 중 하나인 shoulder true AP(GRASHEY METHOD) 촬영법에 대해서 설명하겠습니다. 견관절의 병리학적 상태 혹은 외상에 의한 골절, 탈구나 손상을 전체적으로 확
bj-library.tistory.com
Shoulder Lateral oblique(scapular Y view)
https://bj-library.tistory.com/46
일반촬영 x-ray 엑스레이 어깨(shoulder series) - shoulder Lateral oblique (Scapula Y view) 촬영방법
안녕하세요, 오늘은 어깨(shoulder) 촬영방법 중 하나인 shoulder Lateral oblique(Scapula Y view) 촬영법에 대해서 설명하겠습니다. 견갑골이 알파벳Y자로 보여 Y view라는 이름이 지어졌습니다. 이 촬영법은
bj-library.tistory.com
Shoulder superiorinferior axial
https://bj-library.tistory.com/48
일반촬영 x-ray 엑스레이 어깨(shoulder series) - shoulder superiorinferior axial 촬영방법
안녕하세요, 오늘은 어깨(shoulder) 촬영방법 중 하나인 superiorinferior axial 촬영법에 대해서 설명하겠습니다. 이 촬영법은 proximal humerus(상완골 근위부)와 glenoid cavity(관절와)를 관찰하기 용이합니다.
bj-library.tistory.com
일반촬영 매뉴얼
https://bj-library.tistory.com/31
엑스레이 일반촬영 메뉴얼
1.Skull 2.Chest 3.Abdomen 4.Upper Extremity 5.Shoulder 6.Spine 6-1. C-spine, Cervical Spine(경추, 목뼈) 6-1-1. C-spine series(AP, Lat, both oblique, Flexion, Extension, Openmouth view) https://bj-library.tistory.com/26 일반촬영 x-ray 엑스레이
bj-library.tistory.com