목차

촬영목적
- 무릎관절의 골절, 병변, 관절강의 이상을 확인하기 위해.
촬영방법

환자 자세
- 눕거나 서서 촬영한다. 의사의 선호나 지시를 따르자.
- 누웠을 경우 검사측 다리가 아래로 향하게 돌아 눕는다.
- 검사측 무릎을 약 30도 정도 굽힌다.
- 반대편 다리는 앞으로 빼서 겹침을 방지한다
CR, 거리
- CR - 무릎관절을 향해 수직입사, 혹은 머리쪽 5~10도.
- 거리 - 100cm
노출조건
- 55Kv/5mAs
- non grid
영상평가
- 무릎관절이 잘 열려 보여야 한다.
- 내측 및 외측 대퇴과두(medial/lateral condyle) 가 겹쳐 보여야 한다.
기타 촬영 팁 *트루라테랄

- patella 골절이 있는 환자, 특히 횡골절 환자의 경우는 무릎을 10도이상 굽힘을 금지한다.
- -True LATERAL-
- 트루라테랄이 특히 중요한 방법이기에 따로 씁니다.
- 환자별로 체형과 다리 모양이 천차만별이라 정해진 공식은 없다.
- 제일 먼저 기본 자세를 취한 후 pelvis의 가로축이 테이블과 수직이 되게 만든다.*
- 이후 patella를 만져 true lat.을 확인해본다.
- 이때 테이블과 patella 사이에 손가락이 안들어갈정도면 external lotation일 가능성이 높다.
- 테이블과 슬개골 사이에 손가락이 적당한 저항으로 왕복이 가능하면 좋다.
- 8번 정도의 높이가 나오게 골반과 고관절을 돌려 조절한다.
- 여기서 알아야 할점이 무릎을 내측 외측으로 돌리는 주체는, 골반과 대퇴골이라는것.
- 촬영 후 확인하여 고칠점을 확인한다.


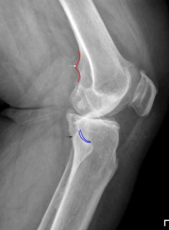
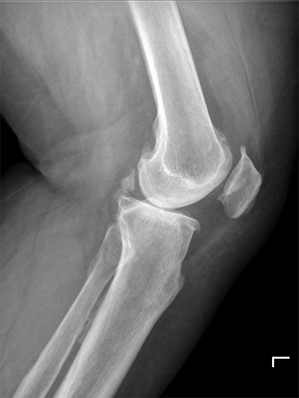
- 트루라테랄 촬영시 중요한점은 저 빨간선(adductor tubercle) 과 파란선(tibiofibula joint)이 포인트.
- adductor tubercle은 medial에 붙어있음.
- 좌측사진은 adductor tubercle이 안쪽 -> 다리를 충분히 돌리지 못한 사진
- 우측사진은 adductor tubercle이 바깥쪽 -> 다리를 과도하게 돌린 사진
- 좌측사진은 tibiofibula joint가 겹쳐서 보임. -> 다리를 충분히 돌리지 못한 사진
- 우측사진은 tibiofibula joint가 활짝 열려보임. -> 다리를 과도하게 돌린 사진
촬영방법 보기
어떻게 나오나
퇴행(degeneration)

- 닫혀진 무릎관절 (Knee joint space)
- 이곳저곳 골극(spur)
다른 촬영법 보러가기
Knee AP
https://bj-library.tistory.com/28
일반촬영 x-ray 엑스레이 무릎사진 (knee Series) - 1. AP
1. 촬영목적 대퇴골(femur) 원위부와 경골(tibia) 및 비골(fibula) 의 퇴행 및 골절 관찰 2. 촬영방법 2-1. 환자 자세 눕거나 서서 촬영한다. 의사의 선호나 지시를 따르자. 다리는 펴서 슬개골이 대퇴골
bj-library.tistory.com
knee Both oblique
https://bj-library.tistory.com/39
일반촬영 x-ray 엑스레이 무릎사진 (knee Series) - 4. Both oblique 촬영방법
안녕하세요, 오늘은 Knee(무릎) 촬영방법 중 하나인 knee oblique 촬영법에 대해서 설명하겠습니다. internal(내회전)이냐, external(외회전) 이냐에 따라 서로 다른 촬영 목적이 있는데요, internal oblique의
bj-library.tistory.com
Knee rosenberg
https://bj-library.tistory.com/30
일반촬영 x-ray 엑스레이 무릎사진 (knee Series) - 3. Rosenberg(PA 45 standing)
1. 촬영목적 초기 퇴행성 변화 관찰 무릎 관절염 의심시 2. 촬영방법 2-1. 환자 자세 서서 촬영한다. 디텍터에 무릎을 붙인 후 대퇴부를 25~45도 정도 구부리고 아래 다리 역시 20도 정도 구부린다.
bj-library.tistory.com
Knee joint axial view(patella, sunrise view, skyline view, hughstons, settegast view)
https://bj-library.tistory.com/32
일반촬영 x-ray 엑스레이 슬개골, 무릎사진 (knee Series) - 4. Knee joint axial view(patella, sunrise view, skyline
1. 촬영목적 슬개골 탈구, 아탈구 슬개대퇴관절 관찰 슬개골의 종골절 관찰 2. 촬영방법 2-1. 환자 자세 2-1-1. Settegast 법 환자는 엎드려 촬영한다. 엎드린 상태에서 검사측 무릎을 90도 이상 구부린
bj-library.tistory.com
일반촬영 매뉴얼
https://bj-library.tistory.com/31
엑스레이 일반촬영 메뉴얼
1.Skull 2.Chest 3.Abdomen 4.Upper Extremity 5.Shoulder 6.Spine 6-1. C-spine, Cervical Spine(경추, 목뼈) 6-1-1. C-spine series(AP, Lat, both oblique, Flexion, Extension, Openmouth view) https://bj-library.tistory.com/26 일반촬영 x-ray 엑스레이
bj-library.tistory.com
'일반촬영' 카테고리의 다른 글
| 엑스레이 일반촬영 메뉴얼 (0) | 2023.12.19 |
|---|---|
| 일반촬영 x-ray 엑스레이 무릎사진 (knee Series) - knee Rosenberg(PA 45 standing) (0) | 2023.12.14 |
| 일반촬영 x-ray 엑스레이 무릎사진 (knee Series) - knee AP (1) | 2023.12.08 |
| 일반촬영 x-ray 엑스레이 목사진 (C-spine Series) AP, Lat, Oblique, odontoid, dens, openmouth view (0) | 2023.11.17 |
| 일반촬영 x-ray 엑스레이 허리사진 (L-spine Series) AP, Lat, Oblique view (0) | 2023.11.16 |
