목차


언제 촬영하나?
- 외상, 부상(trauma)
- 척추측만증(scoliosis) 의심시
- 추간판(intervertebral disc) 간격 확인
- 퇴행성 질환
* 사고나 외상으로 인한 골절 의심시 Flexion, Extension 촬영은 금한다.
* T1~3번을 보기 위해선 swimmer's view 가 좋다.
촬영방법 및 팁
T-spine AP


- CR 중심점은 견갑골하각에 중심을 맞춘다.
- 혹은 T-7에 맞추면 되는데, 환자에게 명치를 짚으라 한 후 위로 손가락 한두마디 정도 올라가면 된다.
- 거리 100cm
- 조건 80kV/10mAs (고전압 사용시 대비 감소)
- 그리드(grid) 사용
- 호기 후 촬영
- 누워서(supine) 촬영시 무릎을 세워 허리 뜸을 방지한다.
중심점(CR), 거리(distance)
- 검상돌기(xiphoid process)에 수직입사
- 100~150cm
노출조건
- 80KvP / 10mAs
- Grid(+)
- 호기시 멈춤 후 촬영
T-spine Lat


- 선 자세(Erect)
- 심장 음영과 척추 겹침을 최소화 하기 위해 몸 왼쪽을 카세트에 붙인다.
- 척추측만(scoliosis) 이 있을 경우, 볼록한 면을 디텍터쪽으로 붙인다.
- 팔을 들어올린다.
- 견갑골 하각(inferior angle of scapula) 에 중심선을 맞춘다.
- 옆으로 누운 자세(Decubitus)
- 심음영과 척추의 겹침을 최소화하기 위해 왼쪽으로 돌려 눕는다.
- 척추측만의 경우 볼록한 면을 디텍터쪽으로 붙인다.
- 베게 혹은 블럭을 머리, 허리, 다리사이에 끼워넣어 척추 정렬을 보상한다.
중심점(CR), 거리(distance)
- 견갑골하각 높이에서 손가락 4개 너비 지점에 수직입사
- 100~150cm
노출조건
- 80KvP / 8mAs
- Grid(+)
- 숨을 참는다.
- 호흡시 장노출(2~3sec)로
T-spine Oblique


- 몸과 카세트가 이루는 각도는 70~100도 사이.
- 어깨부터 골반까지 뒤틀림이 없어야 한다.
- 양 팔을 앞뒤로 빼서 흉추와 겹치지 않게 한다.
- RAO,LAO : 카세트 가까운쪽 후관절(zygaphophyseal joint) 확인 가능
- RPO,LPO : 카세트 먼쪽 후관절 확인 가능
중심점(CR), 거리(distance)
- 견갑골하각 높이에서 흉추를 향해 수직입사
- 100~150cm
노출조건
- 80KvP / 16mAs
- Grid(+)
- 완전 호기 후 멈춤
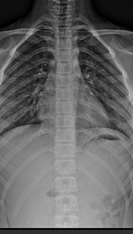
이미지
퇴행성 변화

- 척추체 앞쪽의 돌출부, 골극(검은색 화살표)
- 디스크 퇴행을 나타내는 좁아진 공간(흰색 화살표)
자세한 촬영방법 영상 보기
다른 촬영들.
C-spine Series(AP, Lat, oblique, Flex, Ext, openmouth, dens, odontoid)
https://bj-library.tistory.com/26
일반촬영 x-ray 엑스레이 목사진 (C-spine Series) AP, Lat, Oblique, odontoid, dens view
1. 언제 촬영하나? 외상, 부상 목 통증 손저림 등 신경학적 증상 퇴행성 질환 * 사고나 외상으로 인한 골절 의심시 Flx, Ext 촬영은 금한다. * dens(경추 2번 구조물) 이상을 관찰하기 위해 open mouth법을
bj-library.tistory.com
L-spine Sereis(AP, Lat, oblique)
https://bj-library.tistory.com/25
일반촬영 x-ray 엑스레이 허리사진 (L-spine Series) AP, Lat, Oblique view
1. 언제 촬영하나 1-1. 일반적 통증 L-spine(허리뼈) series(AP, Lat, Both Oblique), Flex,Ext Pelvis(골반뼈) AP 1-2. Spine fx.(골절) 의심시 L-spine series. flex, ext는 금기 필요하다면 T-L AP,Lat 2. 촬영시 팁 호기 후 촬영
bj-library.tistory.com
일반촬영 매뉴얼
https://bj-library.tistory.com/31
엑스레이 일반촬영 메뉴얼
1.Skull 2.Chest 3.Abdomen 4.Upper Extremity 5.Shoulder 6.Spine 6-1. C-spine, Cervical Spine(경추, 목뼈) 6-1-1. C-spine series(AP, Lat, both oblique, Flexion, Extension, Openmouth view) https://bj-library.tistory.com/26 일반촬영 x-ray 엑스레이
bj-library.tistory.com
'일반촬영' 카테고리의 다른 글
| 일반촬영 x-ray 머리뼈(skull)사진 (skull series) lateral 촬영법 (0) | 2024.01.19 |
|---|---|
| 일반촬영 x-ray 머리뼈(skull)사진 (skull series) ap 촬영법 (0) | 2024.01.18 |
| 일반촬영 x-ray 엑스레이 슬개골, 무릎사진 (knee Series) - Knee joint axial view(patella, sunrise view, skyline view, hughstons, settegast view) (0) | 2024.01.05 |
| 엑스레이 일반촬영 메뉴얼 (0) | 2023.12.19 |
| 일반촬영 x-ray 엑스레이 무릎사진 (knee Series) - knee Rosenberg(PA 45 standing) (0) | 2023.12.14 |

