목차
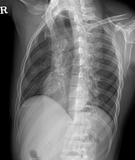
안녕하세요, 오늘은 갈비뼈(늑골, Rib) 촬영방법 중 하나인 Rib AP/PA both oblique(RAO, LAO,RPO,LPO) 촬영법에 대해서 설명하겠습니다. 갈비뼈의 병리학적 상태 혹은 외상에 의한 골절이나 손상을 전체적으로 확인하는데 유용한 검사입니다. 특히 각 자세마다 관찰하고자 하는 부분이 다 다른데요, 그럼 이미지와 함께 설명을 시작하겠습니다.

언제 촬영하나?
- LAO : 우측 전방 늑골 관찰 용이
- RAO : 좌측 전방 늑골 관찰 용이
- LPO : 좌측 후방 늑골 관찰 용이
- RPO : 우측 후방 늑골 관찰 용이
환자자세, 촬영방법 및 팁
Rib Oblique (RAO, LAO)

- 서서 촬영한다
- MSP(정중시상면)과 카세트의 각도가 45도가 되도록 몸을 회전시킨다.
- 턱을 올려 위 늑골과 하악골의 겹침을 방지한다.
- 검사측 팔을 들어올린다
- 디텍터 크기보다 환자 체격이 더 클 경우 디텍터를 조절하여 관심영역을 맞춘다.
중심점(CR), 거리(distance)
- 카세트 중앙에 수직입사
- 100cm
노출조건
- 75kvP / 32mAs
- Grid(+)
- 위 늑골 : Full inspiration(완전 흡기) 후 촬영
- 아래 늑골 : Full expiration(완전 호기) 후 촬영 -> 횡경막이 올라가고 복부 두께를 줄여 영상의 질을 높일 수 있다.
영상평가
- 움직임을 최소화하여야 한다. (영상의 번짐 방지)
- 단추, 목걸이 등 이물질에 유의한다
- 조사야 조절을 통해 관심영역을 포함시킨다.
이미지 및 촬영법 영상
기타 다른 촬영들.
Rib AP/PA
https://bj-library.tistory.com/40
일반촬영 x-ray 엑스레이 갈비뼈,늑골 (Rib series) - AP, PA 촬영방법
안녕하세요, 오늘은 갈비뼈(늑골, Rib) 촬영방법 중 하나인 Rib AP,PA 촬영법에 대해서 설명하겠습니다. 갈비뼈의 병리학적 상태 혹은 외상에 의한 골절이나 손상을 전체적으로 확인하는데 유용한
bj-library.tistory.com
Sternum LAT
https://bj-library.tistory.com/42
일반촬영 x-ray 엑스레이 복장뼈, 흉골 (sternum series) - sternum lateral 촬영방법
안녕하세요, 오늘은 복장뼈(흉골, sternum) 촬영방법 중 하나인 sternum Lateral 촬영법에 대해서 설명하겠습니다. 흉골의 병리학적 상태 혹은 외상에 의한 골절이나 손상을 전체적으로 확인하는데 유
bj-library.tistory.com
sternum oblique/RAO 촬영방법
https://bj-library.tistory.com/43
일반촬영 x-ray 엑스레이 복장뼈, 흉골 (sternum series) - sternum oblique/RAO 촬영방법
안녕하세요, 오늘은 복장뼈(흉골, sternum) 촬영방법 중 하나인 sternum oblique/RAO 촬영법에 대해서 설명하겠습니다. 흉골의 병리학적 상태 혹은 외상에 의한 골절이나 손상을 전체적으로 확인하는데
bj-library.tistory.com
일반촬영 매뉴얼
https://bj-library.tistory.com/31
엑스레이 일반촬영 메뉴얼
1.Skull 2.Chest 3.Abdomen 4.Upper Extremity 5.Shoulder 6.Spine 6-1. C-spine, Cervical Spine(경추, 목뼈) 6-1-1. C-spine series(AP, Lat, both oblique, Flexion, Extension, Openmouth view) https://bj-library.tistory.com/26 일반촬영 x-ray 엑스레이
bj-library.tistory.com
'일반촬영' 카테고리의 다른 글
| 일반촬영 x-ray 엑스레이 복장뼈, 흉골 (sternum series) - sternum oblique/RAO 촬영방법 (2) | 2024.01.26 |
|---|---|
| 일반촬영 x-ray 엑스레이 복장뼈, 흉골 (sternum series) - sternum lateral 촬영방법 (1) | 2024.01.25 |
| 일반촬영 x-ray 엑스레이 갈비뼈,늑골 (Rib series) - AP, PA 촬영방법 (1) | 2024.01.24 |
| 일반촬영 x-ray 엑스레이 무릎사진 (knee Series) - knee Both oblique 촬영방법 (0) | 2024.01.23 |
| 일반촬영 x-ray 머리뼈(skull)사진 (skull series) Towne's view 촬영법 (0) | 2024.01.22 |

