목차

언제 촬영하나?
- PNS(paranasal sinus, 부비동(접형동, 상악동, 전두동, 사골동) 관찰
- 골절, 및 염증 평가.
촬영방법 및 팁
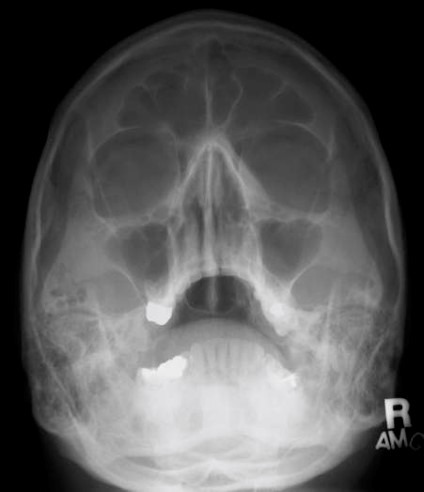
Water's view

- 촬영전 목걸이 혹은 귀걸이 등 악세사리를 제거한다.
- sitting(앉은자세) 혹은 erect(선 자세)를 취한다.
- MSP(중앙시상면)와 카세트의 중심축을 평행하게 맞춘다.
- 턱을 올려 MML(mento-meatal line) 턱끝과 외이도를 잇는 선이 카세트와 90도를 이루게 한다.
- 이러면 자연히 OML(Orbito meatal line)과 카세트가 37도를 이룬다
중심점(CR), 거리(distance)
- 전 비극점을 향해 수직입사
- 100cm
노출조건
- 75kvP / 20mAs
- Grid(+)
- 호흡 정지
영상평가
- petrous ridge가 상악동 아래에 보여야 한다
자세한 촬영방법 영상 보기
기타 다른 촬영들.
skull AP
https://bj-library.tistory.com/34
일반촬영 x-ray 머리뼈(skull)사진 (skull series) ap 촬영법
1. 언제 촬영하나? 외상, 부상(trauma), 두개골 골절 등 전체적인 확인 부비동(PNS, paranasal sinus) 내 염증 확인 2. 촬영방법 및 팁 2-1. Skull AP (머리뼈 전후방향 촬영) supine(누운자세) 혹은 erect(선 자세)
bj-library.tistory.com
skull lateral
https://bj-library.tistory.com/35
일반촬영 x-ray 머리뼈(skull)사진 (skull series) lateral 촬영법
1. 언제 촬영하나? 외상, 부상(trauma), 두개골 골절 등 전체적인 확인 접형동 확인시 공기층 있을시 두개골 기저부 골절 의심 가능 두개 내 질환 확인 2. 촬영방법 및 팁 2-1. Skull lateral (머리뼈 측방
bj-library.tistory.com
skull caldwell view
https://bj-library.tistory.com/37
일반촬영 x-ray 머리뼈(skull)사진 (skull series) PNS caldwell 촬영법
안녕하세요, 오늘은 부비동(PNS, Paranasal sinus) 촬영방법중 하나인 Caldwell 촬영법에 대해서 설명하겠습니다. Caldwell 촬영법은 앞전에서 다뤘던 water's view와 같이 PNS를 관찰하기에 아주 유용한 방법
bj-library.tistory.com
skull towne's view
https://bj-library.tistory.com/38
일반촬영 x-ray 머리뼈(skull)사진 (skull series) Towne's view 촬영법
안녕하세요, 오늘은 머리뼈(skull) 촬영방법 중 하나인 Towne's 촬영법에 대해서 설명하겠습니다. towne's 촬영법은 후두골(occipital bone)을 관찰하기 아주 용이한 방법입니다. 그럼 이미지와 함께 설명
bj-library.tistory.com
일반촬영 매뉴얼
https://bj-library.tistory.com/31
엑스레이 일반촬영 메뉴얼
1.Skull 2.Chest 3.Abdomen 4.Upper Extremity 5.Shoulder 6.Spine 6-1. C-spine, Cervical Spine(경추, 목뼈) 6-1-1. C-spine series(AP, Lat, both oblique, Flexion, Extension, Openmouth view) https://bj-library.tistory.com/26 일반촬영 x-ray 엑스레이
bj-library.tistory.com
'일반촬영' 카테고리의 다른 글
| 일반촬영 x-ray 머리뼈(skull)사진 (skull series) Towne's view 촬영법 (0) | 2024.01.22 |
|---|---|
| 일반촬영 x-ray 머리뼈(skull)사진 (skull series) PNS caldwell 촬영법 (0) | 2024.01.22 |
| 일반촬영 x-ray 머리뼈(skull)사진 (skull series) lateral 촬영법 (0) | 2024.01.19 |
| 일반촬영 x-ray 머리뼈(skull)사진 (skull series) ap 촬영법 (0) | 2024.01.18 |
| 일반촬영 x-ray 엑스레이 흉추(Thoracic)사진 (T-spine Series) AP, Lat, Oblique view (0) | 2024.01.17 |
